Brain and spine MRI
Lumbar, cervical, brain, stroke, demyelination, and tumor protocols ready out of the box.
For radiologists
You've typed the same lumbar spine report a hundred times. Medsee replaces the blank text field with structured clinical forms, with Pfirrmann, Fazekas, and Lung-RADS already inside. Click through what you see. Sign off in a fraction of the time.
10 free reports a month · No installs · Brain & spine templates
Supported by









The shift
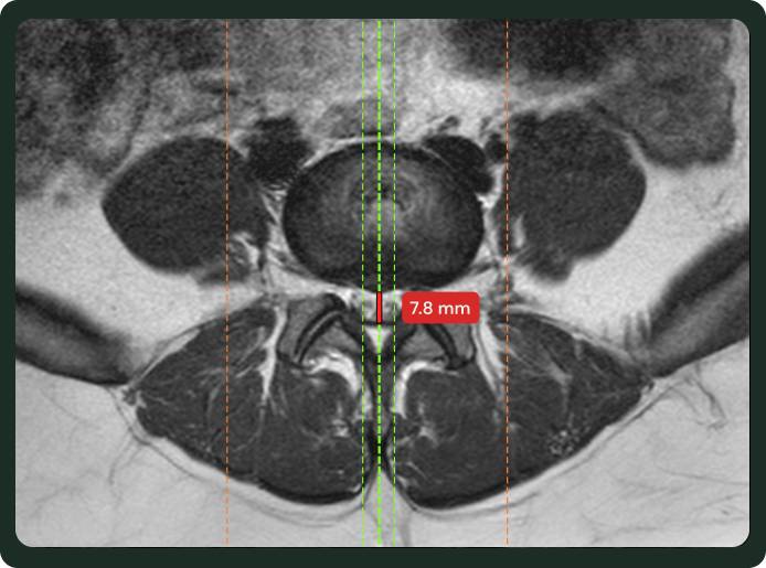
Old dot-phrase systems gave you a paragraph you still had to edit. Medsee gives you the scoring system itself, as a form. Pfirrmann 1 to 5 is a selector. Disc morphology is a toggle. Cord compression has its own red-flag section. You read the scan, grade what you see, and the report is written from your selections.
Template library
Brain and spine, ready out of the box. More templates ship every month.
Lumbar, cervical, brain, stroke, demyelination, and tumor protocols ready out of the box.
Lung-RADS, organ-by-organ abdominal, and contrast protocols. Tell us what to ship first.
One-click Pfirrmann 1 to 5 grading per disc level, with disc morphology and stenosis grade alongside.
Built-in calculators for Fazekas PV/SC and ASPECTS scoring. Pick the grade, the report updates.
Fazekas, lacunar pattern, microhemorrhage count and distribution, midline shift, ventricular size.
Pfirrmann, disc morphology, stenosis grade, canal narrowing, cord signal, and a red-flag section for cord compression.
Voice & narrative
Some studies need a form. Some don't. Medsee handles both, and lets you switch in one click.
Dictate into any field, structured or narrative. Medsee's speech model is trained on radiology vocabulary, Indian accents, and the phrases you actually use. Edit with your keyboard when you need to.
Pick from markdown narrative templates for free-text reads. Dictate the body. Let Medsee draft the impression. Switch a structured report to narrative in one click. Your report, your format.
Why radiologists choose Medsee
Medsee runs in your browser. No GPU. No IT team. No license keys. Open the tab and start reporting.
Running an imaging center?
Built for centers that read more than 200 studies a month.
Connect your modalities and PACS. Studies arrive in Medsee the moment they're acquired. No manual upload.
Center logo, address, NABH credentials, and signature blocks on every PDF you send out.
Assignment queues, threaded notes between readers and coordinators, and review-and-sign workflows.
Direct integration with eRAD, MedInformatix, AbbaDox, Exa, and HL7/FHIR-compatible outbound delivery.
Pricing
Start free with 10 reports a month. Upgrade when you need more.
Free
Evaluate Medsee with no commitment.
₹0
Forever free
Reports
10 reports per month
Features
All features included
Templates
Brain and spine
Export
PDF and DOCX
Support
Pro
For radiologists running routine reporting at scale.
₹2,000 / user / month
+ 18% GST (₹2,360 total billed monthly)
Reports
900 reports per month
Features
All features included
Templates
All templates + early access
Export
PDF, DOCX, HL7, FHIR
Support
Priority email and chat
Custom
For groups and enterprises with unique needs.
Let's talk
Volume pricing, SSO, BAA, custom SLAs.
Reports
Unlimited
Features
Everything in Pro, plus enterprise add-ons
Identity
SAML SSO, SCIM provisioning
Integration
PACS / RIS integration, dedicated tenancy
Support
Dedicated success manager, BAA available
All plans include structured templates, AI-assisted drafting, and sign-ready export.
Built for clinical trust
Your data stays yours. Our infrastructure follows the standards your patients deserve.
PHI encryption at rest and in transit. Full audit trails on every report.
Built for India's Digital Personal Data Protection Act from day one.
Structured output that plugs into RIS, EHR, and hospital systems.
Actively building toward enterprise-grade certification.
Yes. Every scan and report is encrypted in transit and at rest. We're DPDP-compliant and follow HIPAA-aligned practices. Your data is never used to train models without explicit consent.
No. Medsee runs entirely in your browser. Chrome, Edge, and Safari are all supported on any modern laptop.
MRI and CT for brain and spine. Body protocols and MSK joints are coming soon. Let us know what you'd like us to prioritize.
Self-serve users can export PDF and DOCX. Enterprise users get direct integration with eRAD, MedInformatix, AbbaDox, Exa, and HL7/FHIR outbound delivery.
Upgrade to Pro at ₹2,000/user/month (+ 18% GST, ₹2,360 billed) for 900 reports a month, or contact us for Custom volume pricing. See the full breakdown on our pricing page.
10 free reports a month. No commitment. Reporting in 90 seconds.